Лечение кариеса детских молочных зубов | |
|
Дата: 23.10.2025
|
Просмотров: 291 |
| |
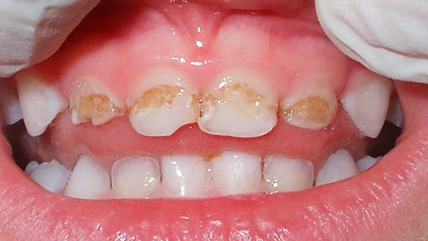
![]() Заболевание молочного зуба может проходить безболезненно, но развивается с гораздо большей скоростью. Потому необходимо сделать визиты к детскому стоматологу регулярными. Некоторые считают, что можно не обращать внимания на кариес молочных зубов, так как они все равно выпадут. Это совершенно не правильно! Несвоевременное решение проблемы кариеса молочного зуба может в дальнейшем привести к осложнениям с прорезыванием постоянных зубов, искривлению прикуса при его формировании. Ошибочно мнение, что ребенка достаточно научить чистить зубы регулярно, и кариес ему не грозит. Это совершенно не так. Кариес может развиться очень быстро и причиной могут служить совершенно разные факторы – от треснувшей эмали до шоколадных конфет, съеденных на празднике. Техника стоматологов в данный момент находится на таком уровне, при котором посещение зубного врача для ребенка абсолютно безболезненно и не вызовет неприятных ассоциаций. Лечение проходит быстро, и ребенок не испытывает страха перед зубными врачами впоследствии. Конечно, многое зависит от доктора, который будет проводить лечение. Необходимо самым тщательным образом выбрать стоматологическую клинику, где будут проводиться все процедуры, от осмотра до лечения. Важно выбрать врача, который сумеет завоевать доверие вашего ребенка и убедит его в том, что стоматолог – совершенно не страшный врач, а лечить зубы не больно. При своевременном визите к стоматологу можно не прибегать к процедуре удаления кариозных тканей и пломбированию. Достаточно будет обработки зубов фтористым лаком. Другой способ предотвращения появления различных заболеваний зубов, в том числе и кариеса, основан на применении препаратов, содержащих серебро. Метод абсолютно безболезненный, но имеет побочный эффект в виде потемнения эмали зуба. Если же заболевание зашло далеко, потребуется удалить поврежденные участки тканей зуба и после этого произвести пломбирование – именно так проходит лечение глубокого кариеса и у взрослых, и у детей. Такой подход к лечению дает стопроцентную гарантию предотвращения дальнейшего разрушения зуба. В любом случае лечить зубы надо начинать сразу же при возникновении проблем, не дожидаясь, когда болезнь зайдет слишком далеко. При прогрессирующем заболевании возможна утеря зуба и неправильное формирование прикуса ребенка при прорезании постоянных зубов. Все это может привести к тяжелым последствиям, вплоть до потери постоянного зуба и возникновения необходимости протезирования. Помните, что своевременное решение проблемы болезни зубов в будущем позволит избежать более серьезных последствий. Если вы сделаете визиты к детскому стоматологу регулярными и сможете приучить ребенка следить за гигиеной рта с самого маленького возраста, то формирование челюсти будет идти правильно, и вам не придется впоследствии использовать установку брекетов для устранения неправильного прикуса. Учитывая, что стоимость лечения кариеса на порядок ниже процедуры исправления нарушенного прикуса, то это даже выгодно. Чем раньше вы начнете лечение, тем лучше. Посещать стоматолога и лечить даже молочные зубы необходимо. Здоровье вашего ребенка стоит гораздо больше потраченного на визит в клинику времени. В будущем ребенок обязательно скажет вам спасибо за обладание здоровой и белоснежной улыбкой. | |
|
| |
Сейчас читают
| Всего комментариев: 0 | |



